illustration © Rei Nakai. All rights reserved.
腱板断裂(損傷)ってご存じですか?
肩が痛いと、「四十肩かな?そのうち治るだろう」と思ってしまう方、結構いらっしゃいます。確かに、自然に治るケースもあります。でも、ある動きで『ズキン』とか『ビリッ』と痛みが走ることはありませんか?
もしそうなら、ちょっと注意が必要です。
肩の中には「腱板(けんばん)」という、肩の動きを支える大事な組織があります。年齢や使い過ぎで、少しずつ摩耗して、こすれて、ついには断裂してしまうことがあるんです。
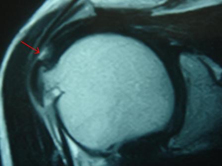
今はMRIで、ほんの小さな断裂も見つけられます。
図の矢印が断裂部分です。
腱板は肩甲骨の骨、肩峰(けんぽう)とぶつかって摩擦を繰り返すことで損傷が進みます。
治療はどうするの?
治療はどうするの?
腱板断裂の治療は、大きく分けて 「手術をしない方法(保存療法)」と「手術」 の二つです。どちらを選ぶかは、患者さんとしっかり話し合って決めます。
年齢、痛みの強さ、筋力の低下、日常生活やスポーツへの影響などを総合的に考えます。
- 手術しない場合
高齢で肩をあまり使わない方や、動きが保たれている方には、ヒアルロン酸注射やリハビリで肩の機能を維持していきます。 - 手術する場合
当院ではすべて関節鏡下手術です。病診連携の病院に入院していただき、私が執刀します。
「すぐ手術しないとダメ」ということはありませんが、長く放置すると断裂が広がったり、腱が硬くなったりすることがあります。
入院とリハビリは?
入院とリハビリは?
一部の病院では、今でも「2ヶ月間の入院とリハビリが必要」と言われることがあります。また、肩を固定するための外転装具が大きくて、付け心地が悪い場合もあり、「装具が大きくて不快」という声も聞かれます。
当院では、関節鏡下手術を行い、入院は4~5日程度。その後は外来でリハビリを続けます。装具も柔らかいソフトタイプを採用し、着け心地に配慮しています。着用期間は2~3週間ほどです。
手術は全身麻酔で約1時間。入院期間は患者さんのご希望に合わせることができます。
肩の痛み、我慢していませんか?
「そのうち治るだろう」と思っていても、腱板断裂が隠れていることがあります。早めに診断すれば、治療の選択肢も広がります。気になる症状がある方は、どうぞ遠慮なくご相談ください。

